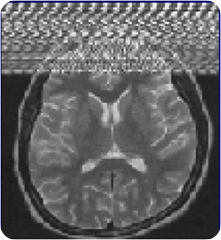
1. Zipper / Tire Tract Artifact Ciri :
Terdapat gambaran seperti ritsluiting atau jejak ban (vertikal atau Horizontal) pada gambaran
Penyebabnya:
Intervensi gelombang radiofrekuensi dari luar sistem karena :
- Pintu tidak tertutup rapat
- Terdapat Lampu yang berkedip / blinking
- Terdapat Alat-alat elektronik yang tidak di RF Shield dalam ruang MRI
-Solusinya:
• Pastikan Pintu tertutup rapat
• Alat elektronik dalam ruang MRI harus mendapat RF Shield
• Pastikan semua lampu dalam ruang MRI dalam kondisi baik
Contoh Zipper / Tire Track Artifact:
2. Signal Loss
Ciri :
Gambaran semakin lama semakin gelap / hilang seiring dengan penambahan slice
Penyebabnya:
- Ada Elemen coil yang rusak
- Coil tidak mencakup seluruh organ yang diperiksa
Solusinya:
• Gunakan coil sesuai dengan luas obyek/ mencakup obyek yang diperiksa
• Simpan Coil dalam posisi yang benar untuk mencegah kerusakan coil
Element coil di tengah rusak sehingga terdapat perbedaan densitas dalam satu gambaran
3. Noisy Image due to Excessive Coil Use
Ciri :
Gambaran sangat noise dan low resolution walaupun SNR telah dinaikkan.
Penyebabnya:
Terlalu banyak coil yang dipakai / diaktifkan – Coil yang berada di luar FoV akan menghasilkan dephasing signal yang akan ditangkap bersamaan dengan signal echo oleh coil yang berada di dalam FoV.
Solusinya:
• Gunakan coil sesuai dengan luas obyek/ mencakup obyek yang diperiksa.
Terdapat gambaran seperti ritsluiting atau jejak ban (vertikal atau Horizontal) pada gambaran
Penyebabnya:
Intervensi gelombang radiofrekuensi dari luar sistem karena :
- Pintu tidak tertutup rapat
- Terdapat Lampu yang berkedip / blinking
- Terdapat Alat-alat elektronik yang tidak di RF Shield dalam ruang MRI
-Solusinya:
• Pastikan Pintu tertutup rapat
• Alat elektronik dalam ruang MRI harus mendapat RF Shield
• Pastikan semua lampu dalam ruang MRI dalam kondisi baik
Contoh Zipper / Tire Track Artifact:
2. Signal Loss
Ciri :
Gambaran semakin lama semakin gelap / hilang seiring dengan penambahan slice
Penyebabnya:
- Ada Elemen coil yang rusak
- Coil tidak mencakup seluruh organ yang diperiksa
Solusinya:
• Gunakan coil sesuai dengan luas obyek/ mencakup obyek yang diperiksa
• Simpan Coil dalam posisi yang benar untuk mencegah kerusakan coil
Element coil di tengah rusak sehingga terdapat perbedaan densitas dalam satu gambaran
3. Noisy Image due to Excessive Coil Use
Ciri :
Gambaran sangat noise dan low resolution walaupun SNR telah dinaikkan.
Penyebabnya:
Terlalu banyak coil yang dipakai / diaktifkan – Coil yang berada di luar FoV akan menghasilkan dephasing signal yang akan ditangkap bersamaan dengan signal echo oleh coil yang berada di dalam FoV.
Solusinya:
• Gunakan coil sesuai dengan luas obyek/ mencakup obyek yang diperiksa.
jurnal radiology Tags: artefact dari gelombang RF
0 Comments