Pemeriksaan radiologi thorax pada kasus Aortosklerosis.

Kasus aortosklerosis terjadi lebih sering pada pasien usia lanjut, berikut contoh radiology imaging dari aortosklerosis.

imageimage

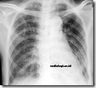
Proyeksi PA dan lateral:

Masih tampak infiltrat di perihiler dan paracardial.
tampak cavitas di paracardial sinistra.
Sinus costophrenicus terbuka.
Diafragma normal.
Cor : CTR = 0,56.
Tampak kalsifikasi aortic knob (+).

Besar cor normal.
Aortosklerosis.
Cavitas di paracardial sinistra dengan bronchopneumonia,

image

POSISI PASIEN: duduk karena pasien tidak kooperatif

gambar aortosclerosis yang lain :

image

Post a Comment

0 Comments