Pendahuluan
Kasus trauma terbanyak disebabkan oleh kecelakaan lalu lintas, disamping kecelakaan industri, kecelakaan olahraga, jatuh dari ketinggian maupun akibat kekerasan.Trauma kepala didefinisikan sebagai trauma non degeneratif – non konginetal yang terjadi akibat ruda paksa mekanis eksteral yang menyebabkan kepala mengalami gangguan kognitif, fisik dan psikososial baik sementara atau
permanen. Trauma kepala dapat menyebabkan kematian / kelumpuhan pada usia dini (Anne G Osborn, 2003).
Pasien dengan trauma kepala memerlukan penegakkan diagnosa sedini mungkin agar tindakan terapi dapat segera dilakukan untuk menghasilkan prognosa yang tepat, akurat dan sistematis. ( Geijertstam, 2004). Dalam suatu penelitian menunjukkan bahwa
tindakan operasi pada trauma kepala berat dalam rentang waktu < 4 jam pertama setelah kejadian, dapat menyelamatkan + 60 – 70 %. Bila > 4 jam tingkat kematian melebihi sekitar 90 %.( Tony Knigts, 2003 ). Hal ini dapat dapat dilakukan setelah adanya penegakan diagnosa trauma kepala dengan pemeriksaan klinis awal yang ditunjang dengan diagnosa imajing ( khususnya CT SCAN Kepala ).Kasus trauma terbanyak disebabkan oleh kecelakaan lalu lintas, disamping kecelakaan industri, kecelakaan olahraga, jatuh dari ketinggian maupun akibat kekerasan.Trauma kepala didefinisikan sebagai trauma non degeneratif – non konginetal yang terjadi akibat ruda paksa mekanis eksteral yang menyebabkan kepala mengalami gangguan kognitif, fisik dan psikososial baik sementara atau
permanen. Trauma kepala dapat menyebabkan kematian / kelumpuhan pada usia dini (Anne G Osborn, 2003).
Pasien dengan trauma kepala memerlukan penegakkan diagnosa sedini mungkin agar tindakan terapi dapat segera dilakukan untuk menghasilkan prognosa yang tepat, akurat dan sistematis. ( Geijertstam, 2004). Dalam suatu penelitian menunjukkan bahwa
CT SCAN sangat mutlak pada kasus Pemeriksaan trauma kepala untuk menentukan adanya kelainan intracranial terutama pada cedera kepala berat ( Severe, glasgow coma score < 8 ( Normal 15 ).
Bebera indikasi perlunya tindakan pemeriksaan CT SCAN pada kasus trauma adalah :
a. Menurut New Orland :
* Sakit kepala.
* Muntah.
* Umur lebih 60 tahun.
* Adanya intoksikasi alcohol.
* Amnesia retrograde.
* Kejang.
* Adanya cedera di area clavicula ke superior.
Bebera indikasi perlunya tindakan pemeriksaan CT SCAN pada kasus trauma adalah :
a. Menurut New Orland :
* Sakit kepala.
* Muntah.
* Umur lebih 60 tahun.
* Adanya intoksikasi alcohol.
* Amnesia retrograde.
* Kejang.
* Adanya cedera di area clavicula ke superior.
b. Menurut The Cranadian CT Head :
* GCS ( Glasgow Coma Score ) < 15 setelah 2 jam kejadian.
* Adanya dugaan open / depressed fracture.
* Muntah – muntah ( > 2 kali ).
* Umur > 65 tahun.
* Bukti fisik adanya fraktur di basal skull.
* GCS ( Glasgow Coma Score ) < 15 setelah 2 jam kejadian.
* Adanya dugaan open / depressed fracture.
* Muntah – muntah ( > 2 kali ).
* Umur > 65 tahun.
* Bukti fisik adanya fraktur di basal skull.
Tujuan utama dari pemeriksaan imajing pada kasus trauma kepala adalah unutuk menentukan adanya cedera intracranial yang membahayakan keselamatan jiwa pasien bila tidak segera dilakukan tindakan secepatnya(Cyto).
Pada saat sekarang CT SCAN telah menjadi modalitas utama dalam menunjang diagnosa trauma kepala terutama pada kasus cyto yang sebelumnya sulit terdeteksi pada foto Foto Town atau Occipitomental ( plain foto skull ). Pada kasus trauma kepala pada umumnya pasiennya merupakan pasien yang “ tidak sadar “ atau tidak koorperatif, dengan kondisi yang demikian sulit untuk mendapatkan posisi scaning ideal yang kita inginkan, sedangkan bila dilakukan tindakan anestesi sering dihadapkan pada resiko yang harus dihadapi.
Dengan demikian Radiografer dipaksa untuk melakukan berbagai cara untuk mengatasinya dalam melakukan pemeriksaan CT SCAN mulai dari persiapan pasien, prosedur, posisi, protokol, post prosesing dan pencetakan film.
Pada saat sekarang CT SCAN telah menjadi modalitas utama dalam menunjang diagnosa trauma kepala terutama pada kasus cyto yang sebelumnya sulit terdeteksi pada foto Foto Town atau Occipitomental ( plain foto skull ). Pada kasus trauma kepala pada umumnya pasiennya merupakan pasien yang “ tidak sadar “ atau tidak koorperatif, dengan kondisi yang demikian sulit untuk mendapatkan posisi scaning ideal yang kita inginkan, sedangkan bila dilakukan tindakan anestesi sering dihadapkan pada resiko yang harus dihadapi.
Dengan demikian Radiografer dipaksa untuk melakukan berbagai cara untuk mengatasinya dalam melakukan pemeriksaan CT SCAN mulai dari persiapan pasien, prosedur, posisi, protokol, post prosesing dan pencetakan film.
Prosedur pemeriksaan CT SCAN Kepala pada trauma kepala
Pada pemeriksaan CT Scan kepala tidak persiapan khusus. Hal-hal yang harus diperhatikan oleh radiografer adalah :
* Pastikan di ruangan ada emergency kit.
* Identitas pasien secara lengkap.
* Universal precaution ( minimal unsteril glove pada saat memindahkan dan mengatur
posisi pasien pada kasus trauma dengan luka terbuka ).
* Pastikan tidak ada benda-benda yang menyebabkan artefact pada gambar.
* Jangan pernah melepas alat fiksasi leher collar bila telah terpasang.
* Bila pasien anak-anak sebaiknya ada anggota keluarga yang mendampingi dengan
memperhatikan proteksi radiasi ( Berikan apron ).
* Lakukan fiksasi kepala pasien dan organ lainnya secara maximal.
Protokol CT SCAN Kepala Pada pemeriksaan CT Scan kepala tidak persiapan khusus. Hal-hal yang harus diperhatikan oleh radiografer adalah :
* Pastikan di ruangan ada emergency kit.
* Identitas pasien secara lengkap.
* Universal precaution ( minimal unsteril glove pada saat memindahkan dan mengatur
posisi pasien pada kasus trauma dengan luka terbuka ).
* Pastikan tidak ada benda-benda yang menyebabkan artefact pada gambar.
* Jangan pernah melepas alat fiksasi leher collar bila telah terpasang.
* Bila pasien anak-anak sebaiknya ada anggota keluarga yang mendampingi dengan
memperhatikan proteksi radiasi ( Berikan apron ).
* Lakukan fiksasi kepala pasien dan organ lainnya secara maximal.
Ø Orientasi pasien : Head first, supine
Ø Orbita Meatal pararel terhadap scan plane
Ø Topogram : lateral dari base skull ke vertex
Ø Axial base line diambil dari garis inferoorbital floor ke EAM.
Ø Angle disesuaikan.
Ø Alternatif pilihan irisan (2/10 mm,3/10 mm, 5/10 mm, 5/5 mm, 7/7 mm ).
Ø (Post Fossa : 2-5mm Ax - // OML) kV: 140-390 mAs
( Brain : 10mm Ax - // OML
kV: 120-360 mAs
Ø Lakukan scan ulang pada slice tertentu bila diperlukan ( irisan dapat dirubah ).
Gambaran CT SCAN Kepala
Tanda-tanda vital yang diperhatikan oleh radiografer dalam post prosesing adalah : Ø Focal hyper / hypodens.
( Ukurlah area tersebut dengan automatic volume dapat dihitung secara kasar dengan mengukur “ Panjang x Lebar x tebal ( slice awal – akhir tampaknya lesi ) dibagi 2.
Ø Mid line shift, tanda adanya mass effect. ( Bila dijumpai ukurlah dengan membuat garis membagi 2 hemispher cerebrum dan garis shift pada ujung anterior septum pellucidum).
Ø Atur WW dan WL (Bone : W = + 1500 , L = + 200 , Brain : W = + 80, L = + 35, Subdural / intermediate : W = + 200, L = + 50 ).
Ø Udara di calvarium ( menunjukkan kemungkinan adanya fraktur ).
Ø Oedem ( batas sulci / gyri cortical tidak jelas ).
Ø Pergerakan pada pasien ( bila diperlukan sebaiknya harus di scan ulang pada slice tertentu ).
Ø Print dengan scout / refrensi image ( 15 – 20 ) dalam 1 lembar, sebaiknya disertakan dengan kondisi tulang terutama bila jelas –jelas ada fraktur.
Peranan CT SCAN
Study peranan pemeriksaan CT SCAN pada kasus trauma kepala :
Nama Pasien ;
Indikasi : CKB, susp. Fraktur basis cranii.
1.hari non name
Dilakukan CT SCAN Kepala sehingga diperoleh gambaran CT SCAN-nya :
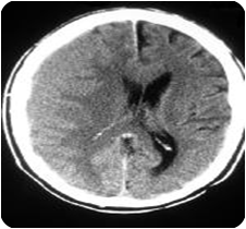
Fraktur os temporal kanan, kedudukan baik. Extracranial tampak soft tissue swelling di puncak parietal kiri. Tampak perdarahan contusio di temporal kanan dan perdarahan subarachnoid di sulcus sylvii kanan, tidak menyebabkan midline shift. Tampak perdarahan epidural kecil ( 4 x 19 mm x 1 slice ) di temporal kiri. Tidak tampak lesi hipo/hiperdens yang mencurigakan infark / s.o.l. Differensiasi white dan gray matter baik, tidak tampak shift dari midline strukutur. Susunanventrikel di tengah, simetris dan sedikit menyempit. Perifer sulci, sulcus syvii dan basal cisterna menyempit. Cerebellum dan batang otak baik.
Kesan :
* Fraktur os. Temporal kanan, kedudukan baik disertai perdarahan mastoid kiri dan sinus sphenoid kanan. Perdarahan contusio di temporal di temporal lobe kanan, perdarahan subarachnoid di sulcus sylvii kanan dan perdarahan epidural kecil di temporal kiri, tidak menyebabkan midline shift. Cerebellum dan batang otak baik.
2. no name
2.Senin, 8 oktober 2007 Dilakukan CT SCAN Kepala setelah dikonsulkan dengan dr. Spesialis Bedah Saraf dengan klinis contusio cerebri, sehingga diperoleh gambaran CT Scan-nya :
Masih tampak perdarahan di mastoid kiri dan sinus sphenoid kanan. Perdarahan contusio di temporal lobe kanan sedikit bertambah ke parietal bawah, sudah tampak perifocal oedema menyebabkan midline shift 3 mm ke kiri. Perdarahan subarchnoid di sulcus sylvii kanan sulit dinilai karena perdarahan contusio dan udem. Perdarahan epidural kecil di temporal kiri tidak bertambah. Tidak tampak lesi hipodens/hiperdens yang mencurigakan infark/ s.o.l. Differensi white di tengah, simetris dan sedikit menyempit. Perifer sulci, sulcus sylvii dan basal cisterna menyempit. Cerebellum dan batang otak baik.
Kesan :
Perdarahan contusio di temporal lobe kanan sedikit bertambah ke parietal bawah disertai perifocal oedem menyebabbkan midline shift ke kiri 3 mm. Perdarahan epidural kecil di kiri tidak bertambah besar. Cerebellum dan batang otak baik.
3. no name
Dilakukan CT Scan kepala setelah selesai operasi, sehingga diperoleh gambaran CT Scan-nya sbb :
Defect tulang temporoparietal kanan post craniotomy. Masih tampak sedikit sisa perdarahan di temporal lobe kanan dengan perofocal udem sampai ke lateral basal ganglia kanan, tampak sedikit herniasi melalui defect tulang. Lesi infark kecil-kecil di ukleus lentiformis kanan. Mencurigakan perdarahan epidural kecil di temporal kiri. Differensiasi white dan gray matter baik, tidak tampak shift dari midline struktur. Susunanventrikel di tengah, simetris dan tidak melebar / menyempit. Perifer sulci,sulcus Syvii dan basal cisterna tidak melebar / menyempit. Cerebellum dan batang otak baik.
Kesan :
Post craniotomy, tampak defect os temporal kanan dengan sedikit sisa perdarahan di temporo lobe kanan dengan dan perofocal udem sampai ke lateral basal ganglia kanan, tampak sedikit herniasi melalui defect tulang. Lesi infark kecil-kecil dinukleus lenfiformis kanan. Suspect perdarahan epidural kecil di temporal kiri. Tidak tampak midline shift. Cerebellum dan batang otak baik.
4.no name
Dilakukan CT SCAN Kepala ketika control ke sp.BS, sehingga diperoleh gambaran CT Scan-nya sbb :
Defect tulang parietal kanan post craniotomy.Tidak tampak lagi perdarahan sinus sphenoid. Parenkim otak baik, tidak tampak lesi hipo/hyperdens yang mencurigakan infark/ s.o.l /perdarahan. Differensiasi white dan gray matter baik, tidak tampak midline struktur. Susunan ventrikel di tengah, simetris dan basal cisternatidakmelbar/menyempit. Cerebellum dan batang otak baik.
Kesan :
Post craniotomy, tampak defect os parietal kanan. Parenkim otak baik, tidak tampak tanda-tanda infark/s.o.l / perdarahan. Tidak tampak tanda-tanda cerebral atrofi / cerebral udem. Cerebellum dan batang otak baik.
Jika diperhatikan pada pemeriksaan tersebut dapat diperoleh gambaran CT SCAN pada trauma kepala intrakranial yaitu a.l :
1. Fraktur
Fraktur pada trauma kepala dapat terdiri dari :
* Linear non displacement.
* Depressed (adanya displacement dari fragment ).
* Diastatic fracture ( fraktur yang melibatkan sutura ).
2. Epidural Hematoma (EDH)
> Merupakan kumpulan massa darah akibat robeknya middle meningeal arteri antara skull dan duramater di regio temporal, yang sangat kuat hubungannya dengan fraktur linear. Dapat juga terjadi akibat robeknya vena & tipikalnya, terjadi di region posterior fosa atau dekat daerah occipital lobe.
Gambaran pada CT :
Tampak sebagai bentuk “ BI CONVEX “ & adanya pemisahan jaringan otak dengan skull.
Akut > Hyperdens, Sub Akut > Isodens, Kronis > Hyperdens
3. Sub dural Hematoma ( SBH )
>>>Merupakan kumpulan perdarahan vena yang berlokasi antara duramater & arachnoid membrane ( subdural space). Biasanya
terjadi akibat kepala berbenturan dengan bentuk tak bergerak
yang menyebabkan robeknya vena antara cerebral cortex & vena
dura.
Gambaran pada CT :
Tampak sebagai bentuk “ BULAN SABIT “ mengikuti kontur dari cranium bagian dalam.
Perdarahan akut > hyperdens, sub akut > isodens, kronis > hypodens.
4.Sub arachnoid Hemmorage (SAH)
>>> Terjadi karena keluarnya darah ke sub arachnoid space, umumnya basal cisterna & jalur cerebral spinal fluid, penyebab utama SAH > Trauma, dapat juga karena rupturnya saccular (berry) aneurysm & arteriovenous malformation (AVM).
Gambaran hyperdens / perdarahan akut yang ada di subarachnid space.
Kesimpulan
Ø Peranan CT SCAN sebagai salah satu modalitas imajing pada kasus trauma kepala sangat diperlukan karena memiliki kelebihan a.l :
* Pemeriksaan yang singkat dan mudah.
* Tidak merupakan invasif.
* Lebih informatif dalam mengidentifikasi / melokalisir
adanya fraktur fragmentnya pada tulang- tulang kepala.
* Dapat mengetahui adanya perdarahan extrakranial dan
menghitung volumenya.
* Dapat mengetahui adanya kelaianan intrakranial/
perdarahan intracranial
(Subdural,Epidural,Sub arachnoid hemmorage)
* Infark akut, oedema cerebri, cerebral contusion.
Ø CT SCAN juga sangat bermanfaat untuk memantau perkembangan pasien mulai dari awal trauma, post trauma, akan operasi , post operasi serta perawatan pasca operasi sehingga perkembangan pasien senantiasa dapat dipantau.
Social Plugin