Mengenal Brain perfusion assessment in acute stroke

Dynamic MSHCT can be used to assess cerebral ischemia in acute stroke.

1. Dynamic contrast enhanced scan Collimation (4 X 5 mm) covering a 20 mm thick slab during 40 seconds.

image

Slice fusion - The four slices for each rotation are fused into one thus enhancing signal/noise ratio.

image

image

3. Time-attenuation plot - All pixel attenuation values in the 20 mm thick slice are calculated over time.

image

4. Color mapping

Perfusion through the 20 mm thick slice can be presented in different ways. Exemplified here are “Perfusion map” and “Time To Peak map”.

image

image

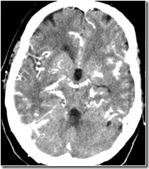
Clinical finding: Acute left hemiparesis.Perfusion CT: Right cerebral infarct.

Post a Comment

0 Comments